Skip to content
  • Read Our Blog
  • Directions
  • 757-464-6228
king dental logo
  • Home
  • About Us
  • Services
    • General Dentistry
    • Cosmetic Dentistry
    • Restorative Dentistry
    • Orthodontics
  • Resources
    • Media Gallery
    • Post-Op Instructions
  • Contact Us
  • Blog

Media Gallery

Before & After Photos

mathew before

BEFORE

Mathew after

AFTER

before with terrible smile beautiful after smile
before smile with missing tooth and very yellow teeth after smile with gorgeous white, full smile
before smile after smile
before with missing teeth and bad shape after with perfect smile
before smile with red lips after smile with red lips
before smile after smile
before smile after smile
before smile after smile
before lower bridge after lower bridge
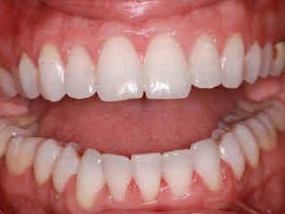
close up smile before close up smile after
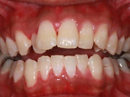
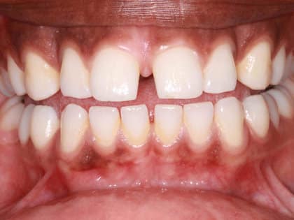
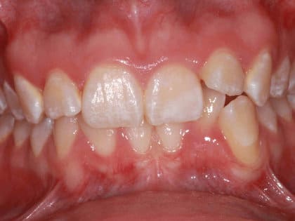
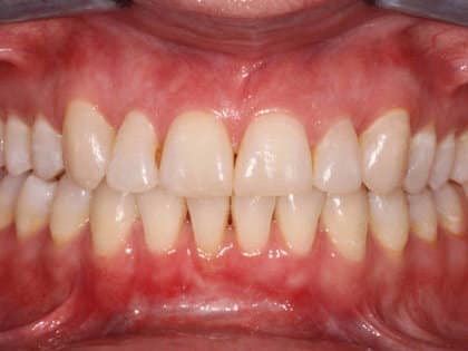
before with big gaps in teeth after without the gaps
before close up smile close up smile after
close up smile before close up smile after
close up smile before close up smile after
close up smile before close up smile after
close up smile before close up smile after
close up smile before close up smile after
close up before smile close up after smile
close up smile before close up smile after
close up smile before close up smile before
close up smile before after close up
start of braces close up after smile close up
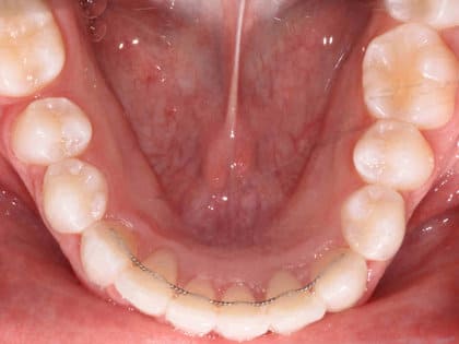
lower arch before lower arch after
lower arch before lower arch

Videos

About Us

Meet the Dentist
Meet the Team

Patient Resources

Post-Op Instructions
View Smile Gallery

Services

General Dentistry
Cosmetic Dentistry
Restorative Dentistry
Orthodontics

king dental logo

4605 Haygood Rd
Virginia Beach, VA 23455
(757) 464-6228

Monday-Thursday 8:30am - 4:00pm

Facebook Link YouTube Link Instagram Link LinkedIn Link

Site Designed by Jameson Management & Marketing

✓
Verified by The Jameson Group
Save contact
powered by The Jameson Group

Hi, how may we help you?

Request Appointment
Phone Call

Call Us

We're here to help

(757) 464-6228
Scan to call
Call Now
Send Email

Email Us

✓

Thank you! We'll get back to you soon.

Request Callback

Request a Callback

We'll call you back ASAP

✓

Thank you! We'll call you back soon.

Local time: 5:28 pm
Monday 8:30 AM - 4:00 PM
Tuesday 8:30 AM - 4:00 PM
Wednesday 8:30 AM - 4:00 PM
Thursday 8:30 AM - 4:00 PM
Friday closed
Saturday closed
Sunday closed
Map
Hi, how may we help you?
Mon 8:30am - 4:00pm
Tue 8:30am - 4:00pm
Wed 8:30am - 4:00pm
Thu 8:30am - 4:00pm
Fri Closed
Sat Closed
Sun Closed
Save Contact
Request Appointment
  • HIPAA Notice of Privacy Practices
  • Privacy Policy
  • Accessibility Statement
  • Non-Discrimination Notice
  • Terms of Use

This site uses cookies and similar technologies. By using this site, you consent to our use of these technologies in accordance with our Privacy Policy .